We use AI to develop personalized 3D dental alignment and orthodontic treatment plans. By analyzing detailed dental scans and patient data, our AI generates precise descriptions that guide the creation of accurate 3D models. This ensures each orthodontic device is custom-tailored to the patient's unique dental structure, improving the effectiveness and efficiency of the treatment process. Our approach combines advanced AI capabilities with dental expertise to deliver superior orthodontic solutions.
We utilize AI, powered by LLaMA, to create personalized 3D dental alignment and orthodontic treatment plans. LLaMA generates precise descriptions of each patient's dental structure from detailed scans, ensuring that the 3D models are accurately tailored to individual needs. This approach enhances the effectiveness and customization of orthodontic devices, leading to improved treatment outcomes.
看看這部影片

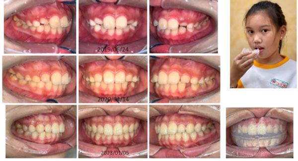
The Customized C4 series of orthodontic appliances is revolutionizing the way we think about early orthodontic treatment. Made from medical grade elastomeric silicone, these appliances are specifically designed for use in children between the ages of 6 and 12. By utilizing the latest in oral scanning technology and tooth alignment software, the C4 series is able to provide patients with unparalleled levels of comfort and aesthetic appeal.
The C4 series is able to correct a wide range of early stage orthodontic issues, including crowding, spacing, overbite, and overjet. This is achieved by guiding erupting teeth into a perfect Class I maximum intercuspation occlusion. Additionally, the C4 series is designed to correct jaw discrepancies and mandibular rotations, making it a versatile option for patients dealing with a variety of orthodontic issues.

One of the most innovative aspects of the C4 series is its ability to treat myofunctional disorders associated with mouth breathing. These disorders can have a significant impact on a child's overall health and wellbeing, and can lead to a number of serious dental issues if left untreated. The C4 series addresses these issues head-on, providing children with the support they need to nose breathe properly and maintain healthy teeth and gums.

The use of medical grade elastomeric silicone in the C4 series is what sets it apart from other early orthodontic appliances on the market. This material is not only safe and comfortable for patients to use, but it is also highly durable and long-lasting. This means that the C4 series is able to provide patients with the support and guidance they need for a longer period of time, resulting in better overall outcomes.
In conclusion, the Customized C4 series of orthodontic appliances is a world leader and game-changing technology that is transforming the way we think about early orthodontic treatment. Its ability to correct a wide range of orthodontic issues, as well as its ability to treat myofunctional disorders associated with mouth breathing, make it a versatile and effective option for children between the ages of 6 and 12. The use of medical grade elastomeric silicone ensures that the C4 series is both safe and comfortable for patients to use, making it an ideal option for anyone looking to improve their orthodontic health.

Medical research has shown that mouth breathing is a leading cause of nose allergies rhinitis . When we breathe through our mouths, unfiltered air enters our respiratory tract, causing the adenoids and tonsils to swell and resulting in respiratory obstruction. To improve this, it is recommended to use a C4 dental appliance that guides teeth into the correct alignment position while training the use of nose breathing. This can be done by using the appliance for 20 minutes of exercise daily, and before going to bed, doing 150 biting and relaxing exercises, keeping the appliance in the mouth for two hours while nose breathing. This will not only improve the alignment of your teeth but also reduce the risk of upper respiratory tract obstruction caused by mouth breathing.

It is important to note that the treatment with the C4 series should be done under the supervision of a well training early orthodontist or dental professional. They will be able to guide you through the process of getting the appliance and help you monitor your progress. With the right professional help, the C4 series can be a powerful tool in helping children achieve a healthy and beautiful smile.

Are you looking for a game-changing solution for your child's orthodontic treatment? The Customized C4 series of orthodontic appliances is revolutionizing the way we think about early orthodontic treatment. Made from medical grade elastomeric silicone, these appliances are specifically designed for children between the ages of 6 and 12 and utilize the latest in oral scanning technology and tooth alignment software to provide align the teeth with unparalleled levels of comfortably occlusion and aesthetic appeal.

The C4 series has multiple functions can not only effectively correct a wide range of early stage orthodontic issues such as crowding, spacing, overbite, and overjet by guiding erupting teeth into a perfect Class I maximum intercuspation occlusion. It also addresses jaw discrepancies and mandibular rotations, making it a versatile option for patients dealing with a variety of orthodontic issues.

But the C4 series doesn't just stop at straightening teeth. Its ability to treat myofunctional disorders associated with mouth breathing makes it truly unique. These disorders can have a significant impact on a child's overall health and wellbeing and can lead to serious dental issues if left untreated. The C4 series provides children to nose breathe properly and maintain healthy teeth and gums. This function Important for growing children. Since malocclusion is associated with nasal allergies and airway obstruction, the unique design of the tongue plate on the C4 as long as the tongue is inserted into the tongue plate while wearing the suit will feel free to breathe. This design can be used to treat respiratory obstruction syndrome caused by mouth breathing, so wearing the appliance can be of great help to related diseases caused by respiratory obstruction such as allergies, asthma, atopic dermatitis, ADHD and inattention .

Medical research has shown that mouth breathing is a leading cause of nose allergies rhinitis . When we breathe through our mouths, unfiltered air enters our respiratory tract, causing the adenoids and tonsils to swell and resulting in respiratory obstruction. To improve this, it is recommended to use a C4 dental appliance that guides teeth into the correct alignment position while training the use of nose breathing. This can be done by using the appliance for 20 minutes of exercise daily, and before going to bed, doing 150 biting and relaxing exercises, keeping the appliance in the mouth for two hours while nose breathing. This will not only improve the alignment of your teeth but also reduce the risk of upper respiratory tract obstruction caused by mouth breathing.

The use of medical grade elastomeric silicone sets the C4 series apart from other early orthodontic appliances on the market. This material is not only safe and comfortable for patients to use, but it is also highly durable and long-lasting, ensuring patients receive the support and guidance they need for a longer period of time resulting in better overall outcomes.

Don't let mouth breathing hold your child back from achieving a healthy and beautiful smile. Trust the world-leading and game-changing technology of the Customized C4 series safe and comfortable for patients to use as orthodontic appliances and the guidance of a well-trained early orthodontist or dental professional to improve your child's orthodontic health.